Педіатр Олександр Катілов повідомив, що запалення легень у дітей може виникнути, зокрема, якщо при звичайній вірусній інфекції не провітрювати житло й давати непотрібні препарати.
Імовірність виникнення пневмонії підвищують протикашльові й відхаркувальні препарати, розповів медик в ефірі програми педіатра Євгена Комаровського Школа доктора Комаровського, фрагмент якої з'явився в Instagram.
Катілов зазначив, що, на думку Американської академії педіатрії, протикашльові препарати не потрібно даватися дітям при бронхіті, оскільки вони є першими в списку тих, які збільшують ризик виникнення ускладнень захворювання.
"...Беремо банальну вірусну інфекцію, банальні соплі. Як ми хочемо, щоб мама заробила запалення? У легенях існує такий механізм очищення, війки, які рухаються у вологому середовищі. Давайте не даватиме дитині пити достатньо рідини, давайте підвищимо температуру навколишнього середовища – зробимо 23 градуси – це буде чудово", – сказав лікар.
Педіатр підкреслив, що для дитини ідеальною є температура до 18-20 градусів.
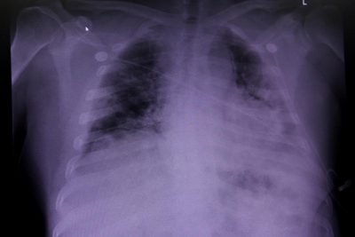
- Нагадаємо, пневмонія є ускладненням захворювання – вона буває бактеріальною та вірусною.
- Раніше пульмонолог та хірург органів грудної клітини Євген Симонець говорив, що при запаленні легень, спровокованому коронавірусом COVID-19, є важлива особливість – не чути хрипи.
- Медик додав, що для діагностики коронавірусної пневмонії потрібно робити комп'ютерну томографію.
Наші стандарти: Редакційна політика сайту Главред
